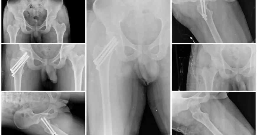
Right Femur Neck Fracture Surgery | CRIF with CC Screws | Balanku Hospital
Right Femur Neck Fracture Treated with Closed Reduction and Internal Fixation Using CC Screws | Balanku Hospital
Advanced Hip Fracture Management at Balanku Hospital
Femur neck fractures are serious injuries involving the upper part of the thigh bone near the hip joint. These fractures commonly occur due to trauma, falls, or high-impact injuries and require timely surgical intervention to preserve hip function and prevent complications.
At Balanku Hospital, we specialize in advanced fracture management with minimally invasive techniques whenever possible. We are pleased to share the successful treatment of Mr. Naga Santhosh, who presented with a right femur neck fracture.
Understanding the Condition
Mr. Naga Santhosh presented with:
-
Severe pain in the right hip region
-
Inability to stand or bear weight
-
Painful restriction of hip movements
-
Difficulty in walking
Clinical examination and imaging studies confirmed a Right Femur Neck Fracture, a fracture occurring just below the ball of the hip joint.
Prompt and precise treatment is essential in such fractures to maintain blood supply to the femoral head and ensure proper healing.
Surgical Procedure Performed
Closed Reduction and Internal Fixation (CRIF) with CC Screws
Mr. Naga Santhosh underwent Closed Reduction and Internal Fixation (CRIF) using CC (Cannulated Cancellous) Screws.
This procedure involves:
-
Realigning the fractured bone fragments without making a large open incision (closed reduction)
-
Stabilizing the fracture internally using cannulated cancellous screws
-
Preserving the natural hip joint
This minimally invasive approach helps reduce surgical trauma and supports early recovery.
Key Benefits of CC Screw Fixation
-
Stable fracture fixation
-
Preservation of the natural hip joint
-
Smaller surgical incision
-
Reduced blood loss
-
Faster recovery and rehabilitation
The procedure was performed with precision under imaging guidance to ensure accurate screw placement and optimal stability.
Procedure Overview
| Condition | Right Femur Neck Fracture |
|---|---|
| Procedure Name | Closed Reduction and Internal Fixation (CRIF) |
| Fixation Method | CC (Cannulated Cancellous) Screws |
| Anesthesia | General / Regional Anesthesia |
| Procedure Duration | 1–2 Hours |
| Hospital Stay | Short Stay |
| Recovery Duration | Several Weeks to Months |
Post-Surgical Recovery & Rehabilitation
Following surgery, Mr. Naga Santhosh was placed on a structured rehabilitation plan including:
-
Gradual weight-bearing as advised
-
Hip range of motion exercises
-
Muscle strengthening exercises
-
Gait training
Regular follow-ups were conducted to monitor fracture healing.
Outcome
With timely surgical management and proper rehabilitation, Mr. Naga Santhosh achieved:
-
Good fracture alignment
-
Successful bone healing
-
Progressive return to weight-bearing
-
Restoration of hip function
-
Return to daily activities
Advanced Hip Fracture Care at Balanku Hospital
At Balanku Hospital, we are committed to:
-
Providing timely surgical intervention for hip fractures
-
Using minimally invasive fixation techniques
-
Preserving natural joint function
-
Ensuring comprehensive postoperative rehabilitation
We take pride in helping patients regain mobility and return to an active, pain-free life.



