Right Proximal Tibia Fracture Surgery with Bicolumnar Plates | Balanku Hospital
Right Proximal Tibia Fracture Treated with Bicolumnar Plate Fixation | Balanku Hospital
Advanced Knee Trauma Surgery at Balanku Hospital
Proximal tibia fractures are serious injuries involving the upper portion of the shin bone near the knee joint. These fractures can affect joint stability, alignment, and weight-bearing ability. When both columns of the proximal tibia are involved, stable surgical fixation is essential to restore knee function and prevent long-term complications.
At Balanku Hospital, we specialize in managing complex periarticular fractures using advanced fixation techniques. We are pleased to share the successful treatment of Mrs. Ananthamma, who presented with a right proximal tibia fracture.
Understanding the Condition
Mrs. Ananthamma presented with:
-
Severe pain around the right knee
-
Swelling and tenderness
-
Difficulty bending the knee
-
Inability to bear weight
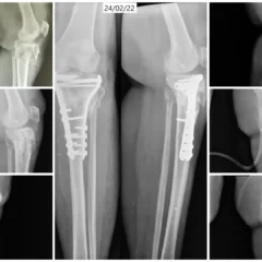
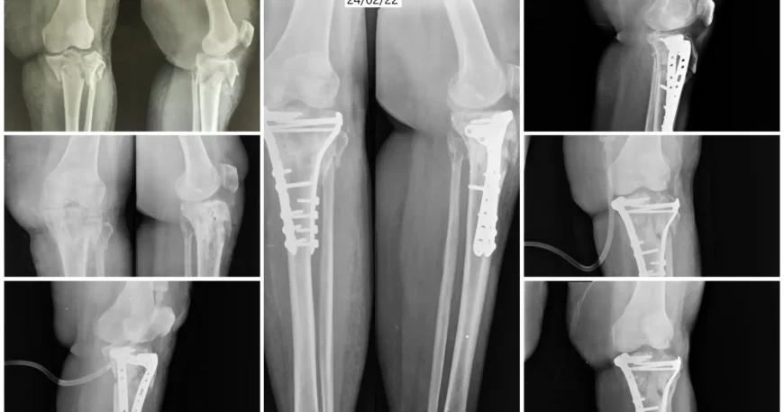
Clinical examination and imaging studies confirmed a Right Proximal Tibia Fracture involving both medial and lateral columns of the bone. Such fractures require precise anatomical reduction to restore joint alignment and maintain knee stability.
Surgical Procedure Performed
Open Reduction and Internal Fixation (ORIF) with Bicolumnar Plates and Screws
Mrs. Ananthamma underwent Open Reduction and Internal Fixation (ORIF) using bicolumnar plates and screws.
This procedure involved:
-
Careful exposure of fracture fragments
-
Anatomical realignment of both medial and lateral columns
-
Stabilization using dual (bicolumnar) plating technique
-
Rigid fixation with screws for enhanced stability
Bicolumnar fixation provides superior mechanical strength, especially in complex fractures involving both sides of the proximal tibia.
Key Benefits of Bicolumnar Fixation
-
Strong and stable fracture fixation
-
Accurate restoration of knee joint alignment
-
Reduced risk of collapse or deformity
-
Improved knee stability
-
Better long-term functional outcome
The surgery was performed using advanced orthopedic trauma techniques to ensure optimal alignment and healing.
Procedure Overview
| Condition | Right Proximal Tibia Fracture |
|---|---|
| Procedure Name | Open Reduction and Internal Fixation (ORIF) |
| Fixation Method | Bicolumnar Plates and Screws |
| Anesthesia | General / Regional Anesthesia |
| Procedure Duration | 2–3 Hours |
| Hospital Stay | Short Stay |
| Recovery Duration | Several Months |
Post-Surgical Recovery & Rehabilitation
Following surgery, Mrs. Ananthamma was enrolled in a structured rehabilitation program focusing on:
-
Gradual knee range of motion exercises
-
Strengthening of quadriceps and supporting muscles
-
Controlled weight-bearing progression
-
Functional mobility training
Regular follow-ups were conducted to monitor fracture healing and maintain alignment.
Outcome
With stable fixation and dedicated physiotherapy, Mrs. Ananthamma achieved:
-
Good fracture alignment
-
Stable bone healing
-
Progressive return to weight-bearing
-
Improved knee mobility
-
Return to daily activities
Advanced Orthopedic Trauma Care at Balanku Hospital
At Balanku Hospital, we are committed to:
-
Managing complex proximal tibia fractures
-
Using advanced dual plating techniques
-
Restoring joint stability and alignment
-
Providing comprehensive postoperative rehabilitation
We take pride in helping patients regain mobility and return to an active, pain-free life.



